Have any questions?
+44 1234 567 890
Projekte
ARTURO - Augmented Reality (AR) in der Neurochirurgie, Entwicklung eines KI-basierten AR-Systems zur Platzierung von Kathetern im Gehirn für die externe Ventrikeldrainage
Das Ziel des Vorhabens und dessen Innovation ist die Entwicklung eines KI-basierten Augmented Reality Systems zur Platzierung von Kathetern im Gehirn für die sogenannte Externe Ventrikeldrainage (EVD). Im Gegensatz zur vorwiegend Freihand durchgeführten Positionierung des Katheters im Ventrikel des Gehirns wird mit Hilfe einer AR-Datenbrille oder eines Smartphones der Weg des Katheters durch das Gehirn als Trajektorie virtuell in das Sichtfeld der Chirurgen eingeblendet und der realen Patientenanatomie überlagert. Dieses System soll es den Chirurgen ermöglichen, die mit der Trefferquote verbundene Zielgenauigkeit zu verdoppeln und damit die Patientensicherheit deutlich zu erhöhen. Die Digitalisierung chirurgischer Eingriffe durch diese Form der Computerassistenz könnten damit auch kleinere Krankenhäuser in der Peripherie in Anspruch nehmen.
Die externe Ventrikeldrainage (EVD) ist eine lebensrettende Maßnahme zur Entfernung von überschüssigem Gehirnwasser (Liquor) aus dem Ventrikelsystem des Gehirns. Dies kann erforderlich sein, wenn das Ventrikelsystem blockiert ist oder wenn das Gehirn zu viel Liquor produziert. Die invasive EVD beinhaltet den Einsatz von Drainagesonden, die durch die Schädeldecke in die Ventrikel eingeführt werden und an eine Drainagevorrichtung angeschlossen werden.
Gefördert durch die: 
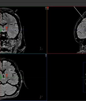
Entwicklung einer Planungssoftware für die Tiefenhirnstimulation - Probabilistische Traktografie
Ziel des geplanten Forschungsprojektes THSpro ist die Entwicklung eines Softwaretools zur Zielpunktplanung für die Tiefe Hirnstimulation mit hohem Marktpotenzial. Aus Messdaten der diffusionsgewichteten Magnetresonanztomografie werden unter Nutzung der probabilistischen Traktografie die neuronalen Faserbahnen im Gehirn rekonstruiert. Anhand dieser neurologisch-funktionalen Daten wird der Zielpunkt der Tiefen Hirnstimulation bestimmt. Sie wird die Genauigkeit der Zielpunktfindung verbessern und so direkt dem Patientenwohl dienen. Die prozessgesteuerten Handlungsabläufe des Planungsvorgangs werden auf Zeit-, und damit Kostenersparnis, optimiert. Die Schulung und Bedienhilfe wird mit einem interaktiven Videointerface effizient realisiert. Eine eigens konzipierte VSEO-Strategie wird Experten und Betroffene helfen sich umfassend zu informieren.
Methoden des maschinellen Lernens werden eingesetzt, um die zeitaufwendigen Berechnungen der probabilistischen Traktografie zu verkürzen. Dies bedeutet einen zeiteffektiveren Planungsvorgang und spart Kosten.
Gefördert durch: 
Patientenspezifische 3D-gedruckte Helme für Kinder
Durch verschiedene Umstände können Kleinkinder einen deformierten Kopf aufweisen. Dies kann zum Beispiel Pränatal bei Enge in der Gebärmutter, Perinatal durch Traumata während der Geburt, wie die Beckenendlage und Postnatal durch funktionelle oder anatomische Zwangslagen oder einer permanenten Rückenlage auftreten.
Die Helmorthese nutzt das Wachstum des Kopfes aus um seine Form zu korrigieren. Er liegt an den prominenten Arealen des Kopfes an, das Wachstum ist deshalb hier während der Behandlungszeit unterdrückt. Er lässt Platz an den abgeflachten Stellen und ermöglicht das Wachstum in die ideale Form hinein.
Gefördert durch: 
Entwicklung eines Systems zur Planung und Fertigung patientenspezifischer Schädelimplantate unter Verwendung additiver Fertigungsverfahren und Techniken des maschinellen Lernens
Das Projektziel ist die Entwicklung einer Prozesskette zur Herstellung patientenspezifischer Schädelimplantate mit 3D-Drucksystemen, mit denen Schädelimplantate aus verschiedenen Materialien wie PEEK / PEKK, Biokeramik und Titan individuell für jeden Patienten hergestellt werden können. Für die CT-basierte präoperative Planung des patientenspezifischen Schädelimplantats wird derzeit eine Software eingesetzt, die mehrere Stunden benötigt, um die relevanten anatomischen Strukturen zu segmentieren und das CAD-Modell des Implantats zu erstellen. Während des Implantat-Planungsprozesses ist derzeit die Interaktion zwischen dem Chirurgen und dem Ingenieur nicht optimal. Ein weiteres Projektziel ist daher die Entwicklung einer Cloud-basierten Planungssoftware mit künstlicher Intelligenz, um die relevanten anatomischen Strukturen innerhalb der CT-Bilder zu segmentieren und automatisch verschiedene Designversionen des Implantats zu erstellen. Der gesamte Prozess soll innerhalb von 48 Stunden die Implantatlieferung ermöglichen, anstatt bisher 2-6 Wochen.
Gefördert durch: 
Patientenspezifische AR und 3D-gedruckte Modelle für die Planung komplexer Operationen und der Implantatplatzierung
Im Rahmen einer präzisen Knochenschraubenfixierung oder Knochenrepositionierungen können für die Wirbelsäulen- und Beckenchirurgie sowie für die Mund-, Kiefer- und Gesichtschirurgie Bohr- und Sägeschablonen gefertigt werden.
Zudem ermöglichen patientenspezifische AR oder 3D-Druck Modelle der Patienten-Anatomie eine sichere Planung komplexer Operationen.
Patientenspezifische 3D-gedruckte Gefäßmodelle
Bei der Therapie lebensbedrohlicher Aneurysmen der Hauptschlagader, der Aorta, werden während der OP sehr zeitaufwändig die Koordinaten der Gefäßabzweige von den Röntgenbildern auf das Gefäßimplantat übertragen. Mit Hilfe 3D-gedruckter patientenspezifischer Gefäßmodelle als Schablone können Gefäßabzweige auf dem Gefäßimplantat markiert werden.
Damit kann das Gefäßimplantat hochpräzise und 90 Minuten schneller im Patienten platziert werden.
MUSOK Entwicklung einer musikerspezifischen Otoplastik mit integriertem Filter zur manuellen bzw. individuellen Einstellung der Filterwirkung direkt am Ohr
Ziel des Projektes ist die Entwicklung eines passiven, musikerspezifischen und manuell einstellbaren Gehörschutzes sowie der zugehörigen digitalen Prozesskette zur Erstellung dieser. Dieser Gehörschutz soll dabei eine Otoplastik sein, welche durch manuelles Drehen die Filterwirkung verändert. Dabei ist es wichtig neben der genauen und komfortablen Passform des Gehörschutzes, die Erstellung der Filtersysteme durch eine digitale Prozesskette zu vereinfachen. Die Entwicklung eines derartigen Systems bzw. die Weiterentwicklung bereits bestehender Systeme hat das Potential die Qualität und die Integration/Akzeptanz von solchen Gehörschutz-Systemen deutlich zu verbessern. Dementsprechend kann hiermit das Auftreten von früh einsetzenden Schwerhörigkeiten oder akuten Störungen des Gehörsystems bei Musikern weitestgehend verhindert werden.
Gefördert durch: 
Entwicklung von Formgedächtnis-Implantaten
Der Entwicklungsschwerpunkt liegt auf der Übertragung der Konzepte für Formgedächtnis-Implantate auf die Entwicklung eines Formgedächtnis-Cages für einen anatomisch angepassten Bandscheibenersatz. Mithilfe des thermischen Formgedächtnis-Effekts soll ein Cage-artiger Bandscheibenersatz entwickelt werden, der sich gewebeschonend implantieren lässt und sich bei Aktivierung durch die Körperwärme selbstständig zwischen den Wirbelkörpern entfaltet und stützt. Der innovative Ansatz ist die anatomische Anpassung der Cage-Geometrie an den Wirbelzwischenraum. Im Bereich der Halswirbelsäule soll ein bestehende Konzept für Wirbelsäulen-Implantate aus Formgedächtnislegierungen optimiert werden, um kritische Nervenstrukturen und körpereigenes Gewebe zu schonen.
Gefördert durch: 
Fossa Cranii - „Individualisierte 3D- Druck Kranioplastik nach unilateraler Trepanation der hinteren Schädelgrube zur Vermeidung von Liquorfisteln sowie postoperativen Narbenschmerzen
Routinemäßig wird nach einer offenen neurochirurgischen Operation, wie beispielsweise einer Tumorresektion, eine chirurgische Wiederherstellung des Schädeldefektes (Kranioplastik) durchgeführt. Bei größeren Defekten werden dafür künstliche Materialien verwendet, deren Ziel es ist die Stabilität des Schädels wiederherzustellen. Im Falle kleinerer Defekte werden standardmäßig die ursprünglichen Knochenfragmente reimplantiert, was jedoch bei erweiternden Trepanationen problematisch werden kann. Bei der Entfernung von Akustikusneurinomen in der hinteren Schädelgrube muss meist die anfängliche Kraniotomie stückweise erweitert werden, um eine optimale Resektion in dieser komplizierten anatomischen Region ohne Schädigung von umgebendem Gewebe zu gewährleisten. Dadurch entsteht nach Reimplantation des Knochenfragments ein Defekt, Trepanationsdefekt genannt, der die postoperative Komplikationsrate in Form von Liqourfisteln sowie anschließenden Narbenschmerzen erhöht. Daraus resultieren längere Krankenhausaufenthalte und gegebenenfalls wiederholte chirurgische Eingriffe. Bisher existieren auf dem Medizinproduktemarkt keine chirurgischen Lösungen, um diese Problematik mithilfe von patientenindividuellen Defektabdeckungen anzugehen. Genau an dieser Stelle soll das beantragte Vorhaben ansetzen.
Ziel des Projekts ist die Vermeidung der Bildung von Liquorfisteln und postoperativen Narbenschmerzen durch die Entwicklung von patientenspezifischen Frässchablonen und Implantaten zur genauen Abdeckung des entstandenen Schädeldefektes. Anwendungsgebiet ist dabei speziell die Kranioplastik von kleineren Defekten, die am Hinterhaupt und der hinteren Schädelgrube erzeugt wurden. Dafür sollen zwei verschiedene Lösungsansätze etabliert werden, die abhängig von der entsprechenden Situation eingesetzt werden können.
Das Ziel unserer Navigationstechnologie ist es, die Navigation als verlässliches Tool vielen chirurgischen Teildisziplinen und Anwendern zur Verfügung zu stellen. In der Nutzung einer Datenbrille zur Einblendung erweiterter Realität (Augmented Reality), sehen wir eine realistische Lösungsvariante, das formulierte Ziel zu erreichen. Und obgleich die Begrifflichkeit der erweiterten Realität allgegenwärtig und nutzbar erscheint, bietet die Entwicklung der Datenbrille als Navigationshilfe und einer damit angestrebten Interaktion mit chirurgischen Instrumenten und präoperativen Bilddaten einen beträchtlichen Entwicklungssprung und ein Novum zugleich.
- Präoperativer Lösungsansatz
Während der Operationsplanung soll der Zugang zum Schädel mithilfe von CT- und MR- Aufnahmen entwickelt werden. Entsprechend wird eine Frässchablone gefertigt, an der der Chirurg während der Operation entlang fräst. Somit ist das Operationsfeld definiert und ein passendes Implantat kann bereits präoperativ hergestellt werden.
- Intraoperativer Lösungsansatz
Während der Operation wird der Trepanationsdefekt mithilfe eines 3D-Scanners gescannt und die Daten anschließend ausgewertet. Daraus kann ein passgenaues Implantat hergestellt werden. Ziel ist es, das Implantat dabei in derselben Operation (in Real-Time) einzusetzen.
Gefördert durch: 
SpongeEx - Methode zur Durchführung der Therapie -Stent-over-Sponge- mittels eines patientenspezifischen Systems zur Platzierung eines Schwammes im Ösophagus
Medizinische Schwämme (sog. Sponges) haben vielseitige Anwendung in der Wundheilung an verschiedensten Regionen im Körper. Mit Hilfe eines Unterdrucks, der zusätzlich über einen Drainageschlauch angelegt wird, werden Durchblutung und Granulation angeregt und Wundsekret abgesaugt bzw. aufgefangen. Dies soll eine optimale Umgebung zur Heilung der Wunde schaffen. Die Speiseröhre ist einer der Anwendungsorte von Sponges und wird dort als sogenannte „Endoskopische Vakuum-Therapie“ bezeichnet. Zur Erhöhung der Effektivität des Sponge im Ösophagus (Speiseröhre) wird, in sehr schwerwiegenden Fällen von Speiseröhrenkomplikationen, zusätzlich ein Stent über den Polyurethan-Schwamm implantiert. Diese Stents sind feine Gerüste aus Nitinol oder Polyamiden um anatomische Strukturen offen zu halten und werden über spezielle Liefersysteme implantiert.
Der Sponge wird in einem aufwändigen Verfahren, aller zwei bis drei Tage gewechselt, wobei der Stent erst oral entfernt und darauffolgend der Schwamm mittels eines Endoskops aus der Speiseröhre gezogen wird. Beide Komponenten werden nacheinander wieder implantiert. Bisher existiert keine Möglichkeit den Schwamm unabhängig des Stents aus der Speiseröhre zu entfernen und wiedereinzusetzen. Genau an dieser Stelle soll das geplante Vorhaben ansetzen.
Das Ziel des Projekts ist die Entwicklung einer neuen Methode zum Wechsel des Schwammes in der Therapie „Stent-over-Sponge“. Dabei sollen nicht nur die Lebensqualität und die Überlebenschance der Patienten deutlich verbessert, sondern auch der zeitliche Aufwand der Behandlung und damit die Kosten für das Krankenhaus minimiert werden.
Gefördert durch: 
